Ca lâm sàng thay van động mạch chủ sinh học loại CoreValve qua đường ống thông ở bệnh nhân hẹp khít van động mạch chủ có nguy cơ phẫu thuật cao


Tóm tắt 
Phẫu thuật thay van động mạch chủ vẫn là biện pháp điều trị được ưu tiên cho các bệnh nhân hẹp khít van động mạch chủ. Tuy nhiên, ở những bệnh nhân cao tuổi, phẫu thuật thường có tỉ lệ biến chứng và tử vong cao. Thay van động mạch chủ qua đường ống thông (Transcatheter Aortic Valve Implantation, TAVI) là một thủ thuật ít xâm lấn và đã được chứng minh có hiệu quả tương tự phẫu thuật ở những bệnh nhân có nguy cơ phẫu thuật cao. Chúng tôi trình bày một trường hợp bệnh nhân nam 87 tuổi, hẹp khít van động mạch chủ có triệu chứng, đã được điều trị thành công bằng kỹ thuật thay van động mạch chủ qua đường ống thông, sử dụng van sinh học CoreValve. Thủ thuật tiến hành an toàn, không biến chứng. Bệnh nhân xuất viện trong tình trạng ổn định, triệu chứng lâm sàng và cận lâm sàng được cải thiện, không xuất hiện biến cố tim mạch lớn trong thời gian theo dõi 30 ngày. 

Đặt vấn đề 
Hẹp van động mạch chủ do thoái hoá van là bệnh lý phổ biến ở người cao tuổi. Hẹp van động mạch chủ khi đã biểu hiện triệu chứng có tiên lượng nặng nề, với tỉ lệ tử vong trong 2 năm lên tới 50% 1. Cho đến gần đây, biện pháp điều trị triệt để duy nhất cho các trường hợp hẹp van động mạch chủ vẫn là phẫu thuật thay van động mạch chủ. Tuy nhiên, các bệnh lý nội khoa kèm theo ở người cao tuổi (như bệnh phổi mạn tính, suy thận) là yếu tố khiến tỉ lệ tử vong sau phẫu thuật còn cao. Khoảng một phần ba bệnh nhân trên 75 tuổi có hẹp chủ khít không thể tiến hành phẫu thuật do nguy cơ quá cao1
Ngày nay, kỹ thuật can thiệp qua đường ống thông để điều trị các bệnh lý tim mạch ngày càng phát triển. Đặc biệt, trong bệnh lý hẹp van động mạch chủ, kỹ thuật thay van động mạch chủ qua da đã bước đầu cho thấy hiệu quả, thay thế cho phẫu thuật cần phải mở xương ức và sử dụng máy tuần hoàn ngoài cơ thể. Trong bài báo này, chúng tôi trình bày một ca lâm sàng bệnh nhân hẹp chủ khít được thay van động mạch chủ qua da, sử dụng van sinh học CoreValve (hãng Medtronic, Hoa Kỳ).

Ca lâm sàng 
Bệnh nhân nam, 87 tuổi, được chẩn đoán hẹp khít van động mạch chủ 7 năm nay. Đợt này bệnh nhân nhập viện vì khó thở NYHA III, kèm theo có tràn dịch màng phổi trái và xẹp thụ động thuỳ dưới phổi trái.Các bệnh lý nội khoa kèm theo bao gồm: suy thượng thận, bệnh phổi mạn tính trên nền lao phổi cũ. Các thang điểm dự báo nguy cơ khi phẫu thuật đều rất cao (điểm logistic EuroScore 18,8%, điểm STS 26%). Do tình trạng nội khoa nặng nề không phù hợp với phẫu thuật tim hở, bệnh nhân được chỉ định thay van động mạch chủ qua da. 
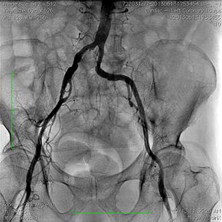
Các thăm dò trước thủ thuật thay van động mạch chủ qua da bao gồm: xét nghiệm công thức máu, hoá sinh máu, điện tâm đồ, siêu âm tim qua thành ngực và qua thực quản, chụp động mạch vành và chụp động mạch đùi cản quang, chụp cắt lớp vi tính đa dãy (MSCT) động mạch chủ ngực - bụng, động mạch đùi chậu. Bệnh nhân có tình trạng thiếu máu nhẹ trước thủ thuật (Hb 98 g/L), chức năng thận bình thường (mức lọc cầu thận 98 mL/phút). Điện tâm đồ có hình ảnh bloc nhánh trái hoàn toàn, tăng gánh tâm thu thất trái. Kết quả siêu âm tim qua thành ngực cho thấy hẹp khít van động mạch chủ, diện tích lỗ van 0,636 cm2, chênh áp tối đa qua van động mạch chủ 67 mmHg, chênh áp trung bình 40,4 mmHg. Hở van động mạch chủ mức độ nhẹ. Đường kính vòng van động mạch chủ 25,2 mm, đường kính đường ra thất trái 24,3 mm, đường kính động mạch chủ ngang qua xoang Valsava 32 mm, đường kính động mạch chủ lên 24,7 mm. Chức năng tâm thu thất trái trong giới hạn bình thường (EF 65%). Đường kính thất trái cuối tâm trương 50 mm. Bệnh nhân có tăng áp lực động mạch phổi mức độ vừa (áp lực động mạch phổi tâm thu 45 mmHg). Chụp động mạch vành có hẹp 40% đoạn giữa động mạch liên thất trước, dòng chảy mạch vành tốt. Chụp cắt lớp vi tính 64 dãy động mạch chủ ngực-bụng cho thấy xơ vữa gây hẹp lan toả động mạch chủ. Động mạch chủ ngực, động mạch chủ bụng trên và dưới động mạch thận có khẩu kính bình thường, ngã ba chủ chậu không hẹp tắc. Hẹp khít động mạch thận hai bên. Động mạch chậu và động mạch đùi phải xoắn vặn, hẹp lan toả, đường kính động mạch đùi phải chỗ hẹp nhất khoảng 5 mm. Động mạch chậu và động mạch đùi trái không hẹp, đường kính động mạch đùi trái chỗ hẹp nhất 6,5 mm. Động mạch dưới đòn trái không hẹp, tắc. 

Hình 1: Đánh giá động mạch đùi - chậu bằng phim chụp cản quang

Thủ thuật được tiến hành tại phòng tim mạch can thiệp, viện Tim mạch Quốc gia Việt Nam, bệnh viện Bạch Mai, Hà Nội. Bệnh nhân được gây mê nội khí quản. Sau đó, đặt đầu dò siêu âm qua thực quản. Đặt điện cực tạo nhịp tạm thời ở mỏm thất phải qua đường tĩnh mạch cảnh trong phải. Dựa theo kết quả chụp động mạch đùi cản quang có hẹp động mạch đùi phải, đường can thiệp được lựa chọn là đường động mạch đùi trái. Trước tiên, chúng tôi tiến hành mở đường vào động mạch đùi phải, đặt sheath 6 French. Qua đường động mạch đủi phải, một ống thông IMA được đưa vào động mạch đủi trái và chụp chọn lọc động mạch đùi trái. Mở đường vào động mạch đùi trái dưới hướng dẫn của màn huỳnh quang tăng sáng. Đẩy một sheath kích cỡ 18 French, dài 90 cm qua đường động mạch đùi lên động mạch chủ bụng. Một ống thông pigtail được đưa lên gốc động mạch chủ qua đường động mạch đùi phải. 

Chúng tôi tiến hành thông tim trái để khảo sát tình trạng huyết động học trước thủ thuật. Áp lực động mạch chủ là 87/46 mmHg, áp lực tâm thu thất trái 119 mmHg, áp lực cuối tâm trương thất trái 17 mmHg, đánh giá chênh áp trung bình qua lỗ van động mạch chủ là30 mmHg, chênh áp đỉnh-đỉnh là 28 mmHg. 

Dây dẫn Amplatz siêu cứng kích cỡ 0,035 inch (hãng Boston Scientific, Hoa Kỳ) được đẩy xuống buồng thất trái qua sheath 18 French. Tiến hành nong van động mạch chủ sử dụng bóng đường kính 22 mm, chiều dài 30 mm (hãng NuMED, Hoa Kỳ) khi tiến hành tạo nhịp thất nhanh. Sau đó, van sinh học CoreValve kích thước 29 mm được đặt ở vòng van động mạch chủ dưới hướng dẫn của màn huỳnh quang tăng sáng. Bệnh nhân xuất hiện bloc nhĩ thất độ 3 thoáng qua sau khi đặt van, tuy nhiên sau đó tự hồi phục về nhịp xoang. Kết quả chụp động mạch chủ cho thấy van động mạch chủ nhân tạo nằm đúng vị trí, chỉ có hở rất nhẹ cạnh chân van. Thông tim cho thấy không còn chênh áp qua van động mạch chủ (hình 3). Siêu âm tim qua thực quản và chụp gốc động mạch chủ ngay sau khi đặt van cho thấy van nằm đúng vị trí, hở rất nhẹ quanh van (hở độ I). Sau khi đã kiểm tra vị trí van trên phim chụp mạch cản quang và siêu âm tim, sheath 18 Fr được rút ra và động mạch đùi được đóng lại bằng 2 dụng cụ Perclose. 
Sau thủ thuật, bệnh nhân được chuyển về khoa hồi sức tích cực tim mạch. Người bệnh được rút ống nội khí quản sau 20 giờ. Điện cực tạo nhịp tạm thời được rút sau 3 ngày. Không xuất hiện các rối loạn nhịp sau can thiệp. Không có tình trạng nhiễm khuẩn sau thủ thuật. Bệnh nhân được xuất viện sau 8 ngày, không có biến chứng. Bệnh nhân được duy trì các thuốc điều trị suy tim, dùng aspirin 100 mg/ngày, clopidogrel 75 mg/ngày. Trong thời gian theo dõi 30 ngày sau thủ thuật, hoàn toàn không ghi nhận các biến cố tim mạch lớn (chảy máu nặng, tai biến mạch não, nhồi máu cơ tim, rối loạn nhịp tim, phải nhập viện vì suy tim). Tình trạng lâm sàng của người bệnh cũng được cải thiện rõ rệt (NYHA I, không còn đau ngực, thể trạng tốt).

Hình 2: Van động mạch chủ CoreValve được đặt đúng vị trí

Hình 3: Chênh áp qua van động mạch chủ trước và sau thủ thuật

Bàn luận 
Đây là trường hợp đầu tiên được thay van động mạch chủ qua da loại CoreValve ở Việt Nam. Chỉ định thay van động mạch chủ bằng van sinh học CoreValve bao gồm: (1) bệnh nhân hẹp khít van động mạch chủ có triệu chứng lâm sàng, (2) đường kính vòng van động mạch chủ từ 18 đến 27 mm và đường kính động mạch chủ lên dưới 45 mm, (3) tuổi ≥ 80, điểm EuroSCORE >15%, điểm STS > 10%, hoặc tuối ≥ 65 với ít nhất một yếu tố nguy cơ sau: xơ gan, suy hô hấp, tăng áp lực động mạch phổi, tiền sử phẫu thuật tim mạch, bệnh hệ thống nặng, bệnh nhân suy kiệt, vôi hoá nặng động mạch chủ23. Chống chỉ định của thủ thuật bao gồm: (1) nhiễm khuẩn nặng hoặc viêm nội tâm mạch nhiễm khuẩn đang tiến triển, (2) có chống chỉ định với aspirin hoặc clopidogrel, (3) có rối loạn đông máu hoặc chảy máu nặng, (4) tiền sử nhồi máu cơ tim hoặc tai biến mạch máu não gần đây, (5) có huyết khối trong buồng tim, (6) có bệnh lý khác kèm theo với kỳ vọng sống dưới 1 năm3. Bệnh nhân của chúng tôi thoả mãn tất cả các chỉ định của thủ thuật và không có chống chỉ định nào. 

Mặc dù một số trung tâm trên thế giới tiến hành thay van động mạch chủ qua da chỉ với gây tê tại chỗ, gây mê nội khí quản vẫn là phương pháp vô cảm thường được lựa chọn. Gây mê nội khí quản giúp tình trạng bệnh nhân ổn định trong quá trình làm thủ thuật 4. Ngoài ra, sự cần thiết của siêu âm qua thực quản trong lúc tiến hành thay van cũng khiến phương pháp gây tê tại chỗ trở nên thiếu khả thi. Mặc dù tuổi cao và có bệnh phổi mạn tính, bệnh nhân của chúng tôi không gặp những biến chứng liên quan đến thông khí nhân tạo. Các kết quả xét nghiệm khí máu sau thủ thuật rất ổn định và người bệnh được rút nội khí quản chỉ sau 20 giờ. 

Hiện nay, có hai loại van trên thị trường được sử dụng cho kỹ thuật thay van động mạch chủ qua da. Đó là loại van nở bằng bóng Edwards-Sapien (hãng Edwards, California, Hoa Kỳ) và loại van tự nở CoreValve5. Trong thử nghiệm PARTNER A, thử nghiệm lâm sàng so sánh thay van động mạch chủ Edwards-Sapien với phẫu thuật thay van động mạch chủ ở bệnh nhân hẹp chủ khít nguy cơ cao, cho thấy cả hai biện pháp điều trị đều có tỉ lệ tử vong và chảy máu nặng tương tự nhau. Tuy nhiên, tỉ lệ đột quỵ và biến chứng mạch máu ở nhóm thay van qua da cao hơn, trong khi tỉ lệ chảy máu ở nhóm phẫu thuật cao hơn. Trong nghiên cứu PARTNER B, so sánh thay van động mạch chủ với điều trị nội khoa ở những bệnh nhân hẹp khít van động mạch chủ không thể phẫu thuật, mặc dù thay van động mạch chủ qua da có nguy cơ xuất huyết nặng và biến chứng mạch máu, nhưng tỉ lệ tử vong chung lại thấp hơn 20% so với điều trị nội khoa6

Các thử nghiệm lâm sàng so sánh thay van động mạch chủ CoreValve với phẫu thuật vẫn đang trong thời gian thu thập số liệu. Mặc dù chưa có số liệu so sánh hai loại van động mạch chủ (Edwards-Sapien và CoreValve), cả hai thủ thuật đều có tỉ lệ thành công và hiệu quả lâm sàng tương đương nhau. Tỉ lệ thành công và sống còn trong 30 ngày sau thủ thuật đều đạt trên 90%7. Tai biến mạch não là biến chứng hay gặp nhất của thủ thuật, tỉ lệ tai biến mạch não được ghi nhận dưới 5%8. Nói chung, CoreValve thường ít gây rối loạn huyết động trong lúc đặt van, khi so sánh với van Edwards-Sapien. Do đó, quá trình thả van Edwards thường phải tiến hành trong thời gian ngắn, trong lúc tạo nhịp thất nhanh. Còn đối với CoreValve, có thể tiến hành thả van từ từ, và điều chỉnh vị trí van trong lúc đặt van để đạt được vị trí tối ưu. Trong ca lâm sàng của chúng tôi, ban đầu van sinh học nhân tạo được thả hơi thấp gây bít tắc mạch vành và xuất hiện bloc nhĩ thất hoàn toàn. Chúng tôi đã tiến hành kéo van lại để đạt vị trí tối ưu.
Biến chứng rối loạn nhịp tim, nhất là bloc nhĩ thất các cấp độ, có thể cần cấy máy tạo nhịp vĩnh viễn, là biến chứng thường gặp sau thủ thuật thay van động mạch chủ qua da. Khi khung đỡ van sinh học đi qua vòng van động mạch chủ xuống vách liên thất, nó có thể gây tổn thương đường dẫn truyền nhĩ thất, dẫn đến bloc nhánh trái hoặc bloc nhĩ thất hoàn toàn. Tỉ lệ đặt máy tạo nhịp vĩnh viễn sau khi đặt CoreValve là 9-36% (tuỳ nghiên cứu), trong khi tỉ lệ này sau khi đặt van Edwards-Sapien chỉ là 2 đến 12%89. Nguyên nhân có thể do khung đỡ CoreValve dài hơn và có diện tiếp xúc với đường ra thất trái lớn hơn khung đỡ van Edwards-Sapien. Ở bệnh nhân của chúng tôi, mặc dù xuất hiện bloc nhánh trái, nhưng sau đó đã hồi phục và người bệnh không cần đến máy tạo nhịp vĩnh viễn. Khuyến cáo chung đề nghị theo dõi điện tim liên tục trong tối thiểu 3 ngày sau thủ thuật thay van qua da. 

Đối với bệnh nhân của chúng tôi, có thể quan sát hở rất nhẹ cạnh chân van ngay sau thủ thuật. Tỉ lệ hở quanh van nhẹ đến vừa vào khoảng 11,8% 6, thường gặp hơn khi đặt CoreValve. Các yếu tố nguy cơ của hở van là vòng van động mạch chủ không đối xứng, van nhân tạo kích thước quá nhỏ và đặt van quá thấp 10. Hở cạnh chân van là một yếu tố tiên lượng tử vong trong thời gian theo dõi sau thủ thuật 10. Chụp MSCT gốc động mạch chủ trước thủ thuật giúp xác định chính xác kích thước van động mạch chủ sinh học, và làm giảm tỉ lệ hở cạnh chân van . 
Mặc dù các van sinh học thế hệ mới ngày càng có kích thước nhỏ gọn hơn, tuy nhiên tỉ lệ biến chứng mạch máu vẫn còn cao (khoảng trên 10%)5. Đo kích thước và đánh giá tình trạng hẹp, tắc, xoắn vặn, vôi hoá của mạch máu động mạch đùi, động mạch chậu, động mạch chủ bụng trước thủ thuật, theo phim chụp cắt lớp vi tinh đa dãy, phim chụp mạch cản quang, và siêu âm mạch máu, giữ vai trò rất quan trọng trong việc giảm tỉ lệ biến chứng mạch máu. Đối với bệnh nhân của chúng tôi, đường kính động mạch đùi trái chỗ hẹp nhất là 6,5 mm, trong khi động mạch đùi-chậu phải xoắn vặn và hẹp lan toả. Khác với van Edwards-Sapien, không thể tiến hành đặt CoreValve xuôi dòng qua đường mỏm tim. Do vậy, chúng tôi cũng đã tiến hành đo đạc để sẵn sàng đặt van qua đường động mạch dưới đòn phải hoặc qua đường mở ngực tối thiểu, trong trường hợp không thể tiến hành qua đường động mạch đùi. Tuy nhiên, kích thước động mạch đùi-chậu trái của bệnh nhân hoàn toàn tương thích cho sheath 18 French và thủ thuật được tiến hành thuận lợi, không gặp khó khăn nào liên quan đến đường can thiệp. Dụng cụ đóng động mạch chuyên dụng Perclose (hãng Abbott, Hoa Kỳ) cho phép cầm máu vết chọc mạnh nhanh và hiệu quả. Bệnh nhân của chúng tôi hoàn toàn không gặp phải một biến chứng nào liên quan đến đường vào mạch máu. 

Kết luận 
Ca lâm sàng của chúng tôi cho thấy thay van động mạch chủ CoreValve qua đường ống thông có thể tiến hành an toàn, hiệu quả trong điều kiện thực tế lâm sàng ở Việt Nam. Việc đánh giá bệnh nhân đầy đủ về lâm sàng và cận lâm sàng (siêu âm tim, chụp mạch cản quang, chụp MSCT) giữ vai trò rất quan trọng đối với thành công của thủ thuật. Tính an toàn và độ bền của van động mạch chủ cơ học còn cần phải được kiểm định trong các nghiên cứu lớn với thời gian nghiên cứu kéo dài, tuy nhiên có thể kết luận đây là một hướng đi đầy triển vọng để điều trị bệnh nhân hẹp khít van động mạch chủ do thoái hoá và không thể phẫu thuật.