Tóm tắt.
Viêm nội tâm mạc nhiễm khuẩn (VNTMNK) trên nhiều van tim lan rộng ra xung quanh và xuống vách liên thất là một tình huống lâm sàng khó khăn trong phẫu thuật. Chúng tôi báo cáo một trường hợp VNTMNK trên van hai lá, van động mạch chủ có áp xe toàn bộ vòng van và lan rộng xuống vách liên thất được mổ thành công. Sau khi cắt lọc tối đa toàn bộ van hai lá, ổ áp xe gốc động mạch chủ và một phần vách liên thất, gốc động mạch chủ được đóng lại. Một ống mạch nhân tạo có van được dùng để nối tắt giữa mỏm thất trái và động mạch chủ xuống và thay van hai lá cơ học. Các động mạch vành được cấp máu từ động mạch chủ lên qua cầu nối bằng ống mạch nhân tạo. Bệnh nhân ra viện hoàn toàn ổn định sau mổ một tháng.
Summary:
Endocarditis involving multi valves and ventricular septum remains a surgical dilemma. We report a case of endocarditis involving the aortic root and mitral valve with extensive destruction of the ventricular septum was surgical treated successfully. After radical resection of all infected tissues, the aortic root was closed. An apico-aortic valved conduit was placed between the apex of left ventricle and descending aorta and a mechanical mitral valve was replaced. Coronary arteries were supplied by grafts from the ascending aorta to coronary ostia. The patient recovered well and discharged after one month of surgery.
Ca lâm sàng.
Bệnh nhân nam 39 tuổi, sốt dai dẳng kéo dài 3 tuần đã được điều trị ở tuyến dưới nhưng không đạt kết quả. Khi vào viện, bệnh nhân được chẩn đoán suy tim do VNTMNK. Khám lâm sàng cho thấy còn sốt 38,5° C tình trạng khó thở nhiều, khó thở cả khi ngồi, huyết động không ổn định.
Kết quả siêu âm tim qua thành ngực cho thấy hình ảnh sùi van động mạch chủ, áp xe thành trước động mạch chủ lan tới 1/3 trên vách liên thất gây hở chủ nhiều. Sùi van hai lá gây hở hai lá nhiều và giãn các buồng tim (Hình 1,2). Điện tim đồ cho thấy block nhĩ thất cấp 3 (Hình 3). Cấy máu cấp ở 3 vị trí khác nhau cho kết quả âm tính. Bệnh nhân được hội chẩn nội – ngoại khoa và được chỉ định phẫu thuật cấp cứu.
Sau khi gây mê toàn thân, bệnh nhân được mở ngực theo đường giữa xương ức, heparin toàn thân, tuần hoàn ngoài cơ thể ở nhiệt độ thường giữa động mạch chủ lên với 2 tĩnh mạch chủ, bơm dung dịch liệt tim trực tiếp 2 lỗ vành qua đường mở gốc động mạch chủ. Kiểm tra gốc động mạch chủ thấy áp xe toàn bộ vòng van lan xuống dưới vách liên thất. Nhiều mủ màu sô cô la trào lên từ vách liên thất. Cắt lọc toàn bộ khối áp xe vòng van động mạch chủ và một phần vách liên thất cho đến khi quan sát bằng mắt thường thấy tổ chức lành, không còn mủn nát và mủ. Kiểm tra van hai lá thấy có sùi lá trước kích thước bé 3 – 5mm, đứt dây chằng lá trước gây hở van nhiều, tổn thương chưa lan vào vòng van. Cắt bỏ van hai lá, bơm rửa làm sạch các buồng tim bằng nước muối sinh lý 9‰. Đóng gốc động mạch chủ lại bằng chỉ Prolene 5.0. Cắt mỏm thất trái một lỗ có đường kính 18mm rồi tiến hành làm miệng nối với ống mạch nhân tạo số 27. Một ống mạch nhân tạo số 27 khác có kèm theo van được nối với động mạch chủ xuống đoạn ngang mỏm tim. Sau đó hai đoạn mạch này được nối lại với nhau tạo thành một cầu nối có van nhân tạo giữa mỏm tim và động mạch chủ xuống. Thay van hai lá cơ học số 31. Hai lỗ động mạch vành được nối với động mạch chủ lên bằng những ống mạch nhân tạo đường kính 6mm (Hình 4). Sau khi đầy tim đuổi khí và thả cặp động mạch chủ, tim đập trở lại với tình trạng block nhĩ thất hoàn toàn. Đặt điện cực thượng tâm mạc và dẫn theo máy tạo nhịp để đạt tần số tối ưu. Ngừng máy tim phổi nhân tạo, rút các ống, trung hoà Heparin và đóng ngực theo giải phẫu.
Sau mổ bệnh nhân được thở máy, hồi sức tích cực và rút ống nội khí quản sau 72h trong tình trạng toàn thân và huyết động ổn định. Máy tạo nhịp vĩnh viễn được cấy một tuần sau mổ và hoạt động hiệu quả. Bệnh nhân được tiếp tục điều trị nội khoa, dùng thuốc kháng sinh theo phác đồ và ra viện sau ngày mổ 1 tháng. Khám lại tháng thứ nhất, thứ tư sau mổ cho thấy tình trạng toàn thân ổn định, không sốt lại, lên cân. Siêu âm tim qua thành ngực cho thấy chức năng tim hồi phục tốt, van nhân tạo hoạt động ổn định, chênh áp qua van trong giới hạn cho phép.
Hình 4: a,b: Abscess toàn bộ gốc ĐMC lan xuống vách liên thất. c,d: Cắt mỏm thất trái rồi nối với ống mạch nhân tạo số 27. e: Nối ống mạch nhân tạo có van vào ĐMC ngực ở vị trí ngang mỏm thất. f,g: Nối hai đoạn mạch lại với nhau thành cầu nối có van giữa mỏm thất và ĐMC ngực. h: Nối ĐMC lên và các lỗ vành bằng ống mạch nhân tạo có đường kính 6mm.


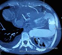
Hình 5: Kết quả chụp MSCT sau mổ
Bàn luận.
Viêm nội tâm mạc nhiễm khuẩn có áp xe vòng van động mạch chủ lan xuống vách liên thất là một bệnh lý không phải hiếm gặp trong thực hành phẫu thuật tim mạch. Với nguyên tắc cắt lọc tối đa tổ chức nhiễm khuẩn, nhiều lúc không thể bảo tồn được đường ra thất trái để tiến hành thay van nhân tạo. Bên cạnh đó, trên nền mô cơ tim phù nề cũng có thể làm cho những mũi khâu cố định van tim nhân tạo không chắc chắn và có thể bị bục ra [1]. Trong quá trình phẫu thuật cho bệnh nhân trên, sau khi cắt lọc và phẫu tích toàn bộ tổ chức áp xe ở vòng van động mạch chủ và ở vách liên thất, chúng tôi thấy nếu thay van tim nhân tạo theo cách thường quy sẽ có rất nhiều nguy cơ: do hầu như toàn bộ cấu trúc đường ra thất trái đã bị phá huỷ nên khó có thể xác định được vị trí phù hợp để đặt van nhân tạo, bên cạnh đó mô cơ tim lành còn lại không đủ đảm bảo chắc chắn cho những mũi khâu cố định. Vì vậy chúng tôi quyết định đóng gốc động mạch chủ và tiến hành làm cầu nối giữa mỏm thất trái với động mạch chủ ngực.
Cầu nối giữa mỏm tim với động mạch chủ ngực là kỹ thuật nối tắt để dẫn lưu máu từ buồng thất trái đến động mạch chủ xuống bằng một ống mạch nhân tạo có gắn van ở giữa. Đây không phải là kỹ thuật mới trong phẫu thuật tim mạch. Năm 1910, Alexis Carrel lần đầu tiên mô tả thực nghiệm kỹ thuật này. Sau đó, năm 1955, Sarnoff sử dụng van tim Hufnagel nằm trong ống mạch nhân tạo Lucite đã dẫn lưu toàn bộ cung lượng thất trái qua động mạch chủ ngực khi cặp hoàn toàn động mạch chủ lên (thực nghiệm ở động vật). Năm 1963, Templeton áp dụng kỹ thuật này trên 5 bệnh nhân trong đó có 1 người sống hơn 10 năm sau mổ [2].
Hiện nay trên thế giới, kỹ thuật trên được chỉ định chủ yếu cho những trường hợp có gốc động mạch chủ vôi hoá nhiều, mỏng và dễ vỡ và những trường hợp mổ lại với nguy cơ tổn thương phía dưới lớn như thất phải giãn, cầu nối mạch vành sát dưới xương ức, nhiễm trùng xương ức nặng dù đã được chuyển vạt cơ ngực che phủ… Một số bệnh tim bẩm sinh có hẹp đường ra thất trái phức tạp, hẹp vòng van động mạch chủ nặng cũng có thể áp dụng [3]. Tìm lại trong y văn, chúng tôi thấy hầu như không có báo cáo nào áp dụng kỹ thuật này cho những trường hợp viêm nội tâm mạc nhiễm khuẩn có áp xe toàn bộ gốc động mạch chủ và lan rộng xuống vách liên thất. Tuy nhiên trước tình huống lâm sàng không thể tiến hành thay van động mạch chủ theo phương pháp thường quy, chúng tôi nghĩ rằng cầu nối tắt giữa mỏm tim và động mạch chủ ngực là một sự thay thế hoàn toàn hợp lý.
Khó khăn lớn nhất gặp phải khi thực hiện phẫu thuật cho bệnh nhân là không có vật liệu tiêu chuẩn để làm cầu nối. Đó là bộ vật liệu bao gồm ống nối cho mỏm tim, van tim nhân tạo và ống mạch nhân tạo. Các vật liệu này được thiết kế riêng cho phù hợp với việc luồn vào mỏm thất trái và đường đi của nó đến động mạch chủ xuống để không làm hẹp các miệng nối, đoạn gấp khúc và đảm bảo dẫn lưu đủ cung lượng tim [4]. Hiện ở Việt Nam chưa có bộ sản phẩm này trên thị trường. Để giải quyết vấn đề trên, chúng tôi sử dụng ống mạch nhân tạo số 27 để nối với mỏm thất trái, nối một ống mạch nhân tạo khác có gắn van (đầu ngoại vi) vào động mạch chủ xuống đoạn ngang mỏm tim. Sau đó hai đoạn này được nối lại với nhau để tạo thành một cầu nối tắt có van cho dòng máu di chuyển một chiều từ mỏm thất trái xuống động mạch chủ (Hình 4c,d,e,f,g). Lý do để chọn đoạn mạch có cỡ lớn như vậy là đề phòng trường hợp gấp khúc cầu nối dẫn đến gây hẹp và dẫn lưu không hết thể tích tống máu của thất trái. Kết quả chụp cắt lớp vi tính đa dãy đầu dò sau mổ cho thấy vẫn có tình trạng gấp khúc cầu nối trước và sau van nhân tạo (Hình 5) nhưng trên siêu âm thì chênh áp qua các chỗ này là không đáng kể cho thấy việc lựa chọn vật liệu là phù hợp.
Những thay đổi sau mổ ở bệnh nhân làm cầu nối tắt mỏm thất trái – động mạch chủ có thể gặp như giãn buồng tim, thiếu máu vành, thiếu máu não hay các tạng khác (gan, thận…) [2][4][5]. Tuy nhiên trong 4 tháng theo dõi sau mổ, chúng tôi chưa thấy xuất hiện những biến đổi trên ở bệnh nhân này. Với kết quả tốt khi áp dụng kỹ thuật nối tắt mỏm thất trái – động mạch chủ cho bệnh nhân có áp xe rộng vòng van động mạch chủ lan xuống vách liên thất, chúng tôi thấy nên đặt ra chỉ định này khi việc thay van động mạch chủ không thể tiến hành theo cách thường quy.